Dünya basının tartışma konusu olan kuyruklu bebeğin akılalmaz hikayesi…Meksika'da, sancıları tutan genç kadın acil bir şekilde doğuma alındı. Doğum sorunsuz geçerken, dünyaya gelen bebeğin 5.7 cm kuyruğu olduğu görüldü.
5.7 CM KUYRUK İLE DOĞDU
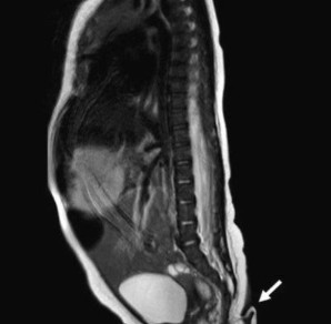
Sağlıklı bir şekilde dünyaya gelen bebeğin 5.7 cm olan kuyruğu ise doktorları şoka uğrattı.
Kuyruk doğumdan 2 ay sonra ameliyatla alındı.
KUYRUK; İNCE TÜYLERLE KAPLI, YUMUŞAK
Dr. Josue Rueda, Meksika'da bir ilk olan kuyruklu bebeğin kuyruk sokumundan çıkan deri parçasını, '3 ila 5 mm çapında ve 5,7 cm uzunluğunda, yumuşak, ince tüylerle kaplı ve sivri bir uca sahip.
Acı çekmeden pasif olarak hareket ettirilebiliyor ancak spontane hareket gösteremiyor' sözleriyle anlattı.
Yapılan araştırmaya göre, omurgası düzgün şekilde oluşmadığı için Meksikalı bebekte kuyruk oluştuğu açıklandı.
Beyin, kalp, işitme ve idrar testlerine giren yeni doğmuş bebeğin sağlıklı olduğu ve kuyruk sıkıştırıldığı zaman ağlamaya başladığı belirtildi. İlginç olayın ardından kuyruk ekipler tarafından incelendi ve yumuşak dokulu yapının atardamar ve toplardamarlara sahip olduğu belirtildi.
Gerçek kuyruklar son derece nadir olarak görülürken son olarak 2017 yılına kadar sadece 195 vakanın tespit edildiği, en büyük kuyruğun 20 cm olduğu ifade edildi.




